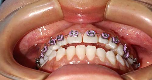
Los brackets son pequeños soportes que se adhieren a los dientes para corregir problemas de alineación y mordida, formando parte de un tratamiento de ortodoncia. Funcionan uniendo los dientes mediante un arco metálico que, al ser ajustado por el ortodoncista, aplica fuerza para mover los dientes gradualmente a la posición deseada. Pueden estar hechos de diversos materiales, como metal, cerámica o zafiro, y sirven para corregir desde dientes apiñados y espacios hasta problemas de mordida.




Si tiene alguna duda o necesita algún tratamiento para su salud dental no dude en contactarse